Unsere neue Praxis befindet sich im Aufbau und eröffnet in Kürze. Wir freuen uns darauf, Sie bald begrüssen zu dürfen!

Unsere Leistungen

Moderne Kieferorthopädie für jeden Bedarf

Unsichtbare Zahnspangen

Mit modernen Alignern bieten wir eine nahezu unsichtbare Möglichkeit zur Zahnkorrektur. Diese durchsichtigen Zahnschienen sind herausnehmbar und besonders komfortabel im Alltag. Sie eignen sich ideal für Erwachsene und Jugendliche, die Wert auf eine unauffällige Behandlung legen.

Nahezu unsichtbar
Herausnehmbar
Hoher Tragekomfort

Moderne Brackets

Unsere modernen Bracketsysteme bieten eine effektive und bewährte Methode zur Korrektur von Zahnfehlstellungen. Wir verwenden hochwertige Materialien und innovative Techniken für optimale Behandlungsergebnisse bei maximaler Schonung der Zähne.

Präzise Kontrolle
Verschiedene Ausführungen
Bewährte Methode

Weitere Behandlungen

Frühbehandlung

Rechtzeitige Behandlung von Zahnfehlstellungen bei Kindern für eine optimale Entwicklung des Gebisses und der Kieferstellung.

Erwachsenenbehandlung

Speziell angepasste Behandlungskonzepte für Erwachsene, die Wert auf ästhetische und diskrete Lösungen legen.

Kombinationstherapie

Ganzheitliche Behandlungsansätze, die verschiedene Therapieformen kombinieren für bestmögliche Ergebnisse.

Ihr Weg zum perfekten Lächeln

1

Erstberatung

Ausführliches Gespräch und Analyse Ihrer individuellen Situation

2

Diagnose

Detaillierte Untersuchung und Behandlungsplanung

3

Besprechung

Besprechung der notwendigen Therapie

4

Behandlung

Durchführung der individuell abgestimmten Therapie

5

Nachsorge

Regelmäßige Kontrollen für langfristigen Erfolg

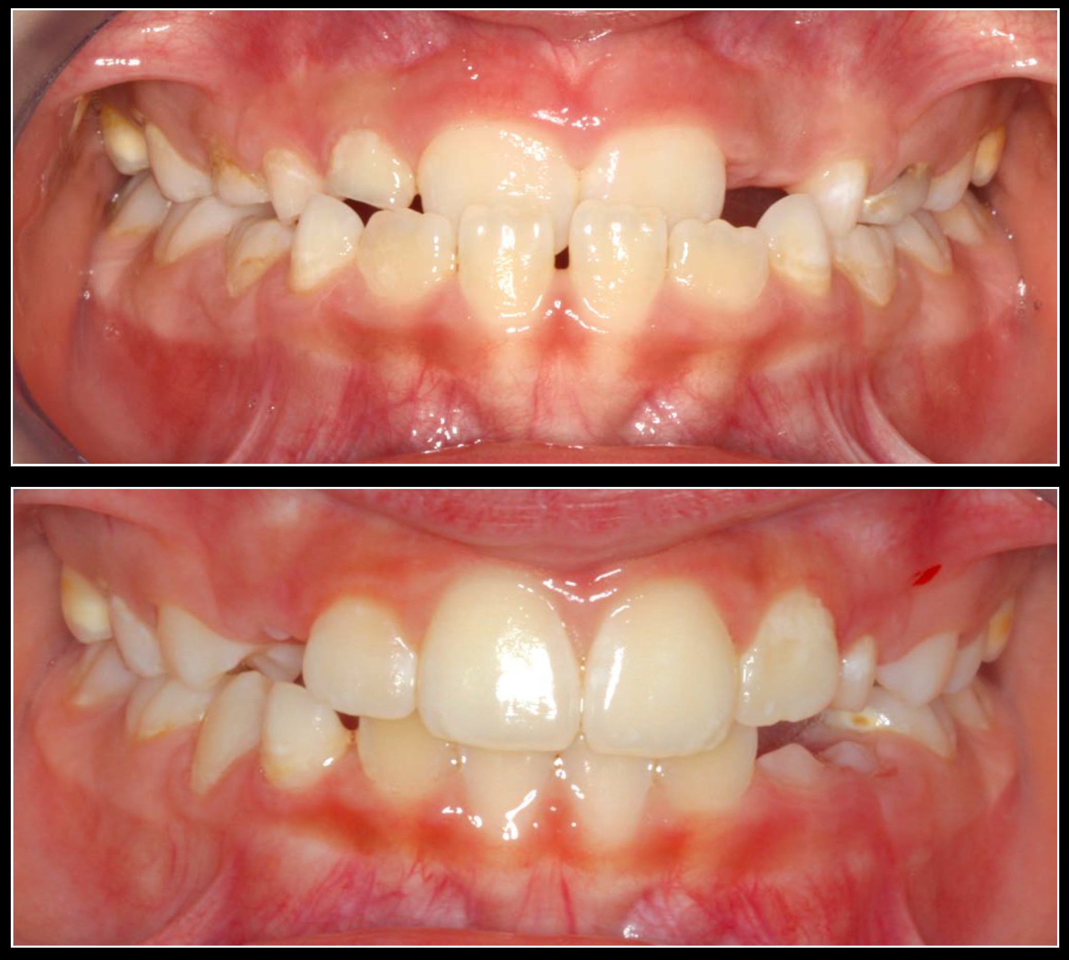
Erfolgreiche Behandlungen

Beeindruckende Transformationen unserer Patienten

Von komplexen Fehlstellungen zu strahlenden Lächeln

Unsere Praxis hat bereits zahlreiche Patienten mit schwerwiegenden Zahnfehlstellungen erfolgreich behandelt. Diese Dokumentation zeigt eindrucksvolle Vorher-Nachher-Vergleiche von Behandlungen, bei denen stark verschobene Gebisse durch unsere moderne kieferorthopädische Therapie deutlich verbessert wurden.

Komplexe Zahnfehlstellungen erfolgreich korrigiert
Dramatische Verbesserungen der Bissstellung
Nachhaltige Ergebnisse für optimale Mundgesundheit
Alle Behandlungsfälle ansehen
Vorher-Nachher

Aktuelle wissenschaftliche Veröffentlichung

Dr. Heinz Winsauer teilt seine neuesten Forschungsergebnisse

Les ancrages squelettiques en 2021: nouvelles réflexions, nouvelles perspectives. Un entretien avec Heinz Winsauer

Veröffentlicht: 2021 | Orthodontie Française
PDF herunterladen

Vereinbaren Sie einen Beratungstermin

Lassen Sie sich von unseren Experten beraten und finden Sie die optimale Behandlung für Ihr strahlendes Lächeln.

Jetzt Termin vereinbaren